Um homem de 73 anos passou anos sem dar importância à mudança na aparência das unhas até descobrir que este era o sinal de um tumor comprimindo seus pulmões e coração. O caso foi reportado no Journal of Medical Case Reports, em 11 de dezembro.
Unhas amareladas geralmente são consideradas problemas estéticos, relacionados a infecções por fungos ou deficiência de vitaminas. No entanto, essas alterações também podem indicar problemas de saúde mais graves, como alterações hormonais, diabetes, doenças do coração e pulmões e câncer.
Síndrome da unha amarela
O homem, que não teve o nome revelado, tinha a síndrome da unha amarela, uma doença muito rara, de origem desconhecida, que consiste na presença de unhas amarelas, linfedema e derrame pleural.
O paciente percebeu que as unhas das mãos e dos pés começaram a ficar amareladas, grossas e quebradiças. Paralelamente a isso, o homem também passou a sofrer com falta de ar e inchaço nas pernas.
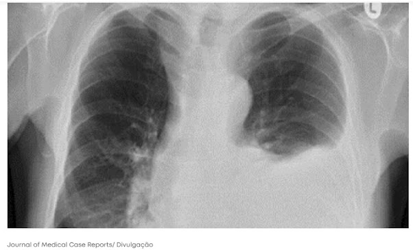
Radiografias de tórax revelaram um quadro de quilotórax, caracterizado pelo acúmulo de líquido leitoso entre as camadas que revestem os pulmões, chamadas de pleuras. Isso acontece quando o sistema linfático, responsável por drenar o excesso de fluidos do corpo, é interrompido.
Exames mais detalhados mostraram um tumor benigno comprimindo os pulmões. O caroço tinha 7 cm e pressionava o ducto torácico — um importante vaso linfático — impedindo que o fluido saísse do corpo.
“A complexidade da fisiopatologia subjacente à síndrome das unhas amarelas e a falta de diretrizes de tratamento demonstram a necessidade de mais pesquisas sobre esse distúrbio raro”, escreveram os médicos no relato do caso.
Tratamento
O paciente foi submetido a uma embolização linfática percutânea, um procedimento minimamente invasivo que interrompe o vazamento de fluido ao fechar os vasos linfáticos com problemas.
As unhas foram tratadas com creme de vitamina E e suplementos de zinco para promover um crescimento mais saudável. O inchaço das pernas foi resolvido com bandagens compressivas e terapia de drenagem manual.
Fonte: Metrópoles
 





















 
 
 
 
 
 
 
 
0 comentários:
Postar um comentário
Comente esta matéria